Welcome to DDSGadget AI Education
Get answers to any clinical question by searching product literature, and tens of thousands of research abstracts, with our AI companion.
Recent Posts
Filter by Topic
Peri-implantitis still remains one of the most common complications in implant dentistry. It is believed that peri‑implantitis is caused by bacterial‑driven inflammation around dental implants. Therefore, it has been suggested that administration of antibiotics, whether delivered systemically, locally, or via innovative carriers, can help target pathogens
Highlight an excellent article and case series that reviews the techniques and applications of L-PRF for ora-antral communications, sinus lifts, socket preservation, and mandibular third molar surgery.

To achieve the best possible results during immediate implant placement choosing a proper flap design is a critical decision. A key consideration, is whether to raise a flap or not? Both techniques have benefits and drawbacks. This Week in Dental Implants we review some recent studies on this topic and highlight two interesting cases.

3D Bond+™ is a pure biphasic calcium sulfate that comes in all-in-one smart syringe that is pre-filled with calcium sulfate powder and a fast-setting saline.

AugmaShield is a resorbable intraoral wound dressing that attaches to the gum. When sutured on top of a graft, Augma Shield provides an ultimate coverage until soft tissue closes and healing begins.

Hyaluronic acid (HA) is a naturally occurring, highly hydrophilic polysaccharide that can be applied in dental and oral‑surgical grafting as a liquid, gel, or cross‑linked formulation. In the studies listed it is used either alone or mixed with bone‑substitutes, collagen matrices, or synthetic membranes.
Can PRF membranes be improved thru the use of heat and used instead of collagen membranes or PTFE membranes? Additionally, what strategies are available for enhancing the long-term stability of Overdentures? Are certain Implant placement strategies better, and what are the effects of delayed vs immediate placement?
This Week in Dental Implants we wanted to do a quick review of the Cortical Shell Technique, demonstrating how it can be used to improve vertical and horizontal bone gains. The technique can be performed free‑hand or, with computer‑guided workflows that use patient‑specific cutting and positioning guides to improve accuracy and predictability.
This Week in Dental Implants we are reviewing two Alternatives to Conventional Osteotomy for implant placement: osseodensification and no Osteotomy in clean extraction sites during immediate implant placement.
This Week in Dental Implants we are featuring a case with immediate implant placement that demonstrates in detail the modified Modified Roll Technique to build keratinized tissue. The Modified Roll Technique involves a partial thickness flap on the palatal, separation of the connective tissue from the palatal while still maintaining it’s attachment to the buccal tissue, and finally tucking of the pedicle beneath the buccal tissue to augment the soft tissue.
Immediate implant placement after an atraumatic extraction is a common procedure nowadays. However, because of the difference in the circumference between the extracted tooth and the implant, a residual gap is often left between the implant and buccal alveolar bone. A common dilemma when left with this gap is whether to graft it or leave it unfilled. The literature seems to suggest that the buccal gap between the socket walls and the implant surface should be filled with graft, as this will preserve the socket volume, minimize socket remodeling, and thus ensure the long-term success of the implant, particularly as it relates to the esthetic outcomes. The OsteoGen strip can be used to graft the gap around implants following extraction and immediate placement.
This is another case using a demineralized cortical allograft sheet, like the DALI Flex Graft, in guided bone regeneration. Patient presents with missing tooth No. 9 that was extracted 2 months earlier with uneventful healing. Occlusal view showing obvious buccal alveolar ridge deficiency.
3D printing, or additive manufacturing, has great potential in dentistry, We explore the current status of 3D printing as it applies to bone grafting.
This case shows a nearly 2-year follow up of an augmentation of a buccal ridge deficiency, using the DALI Flex Graft.
DALI One Graft, is your One-Step Grafting Solution for socket preservation! Review our frequently asked questions to learn more about the DALI One Graft.

The Implant Removal Kit provides all the tools you need to remove a failed dental implant while minimizing trauma to the bone.

The OsteoGen Plug combines synthetic bone graft (Osteogen crystals) with a collagen plug to yield and affordable way to clinically deliver bone graft for socket preservation!
The patient presented with a poorly healed site with previously failed dental implants. An aggressive guided bone regeneration procedure was indicated, using a combination of DALI Grafts, including, DALI Amnion Chorion Membranes, to facilitate bone growth for future implant placement.
To improve clinical outcomes in maxillary sinus augmentation (MSA), several strategies have been suggested. Notably, one of the factors that greatly influences the results of MSA is the choice of bone graft material. It has been suggested that combining the bone graft material with autologous platelet concentrates, such as PRF, may enhance healing. But does PRF help in this specific application?
To overcome some of the challenges posed by the lateral sinus lift approach, several modifications have been proposed. One such improvement is the suggestion for a less-invasive window design, whereby a smaller opening is created in the lateral wall of the maxillary sinus. There are several advantages to this less-invasive design.
Marginal bone loss (MBL) around dental implants is a significant concern in implant dentistry as it can affect the long-term success and stability of the implants. A new study concluded that stated that as the duration of prosthetic delivery time increases following the surgical placement of dental implants, the risk of marginal bone loss also increases.
The importance of peri-implant disease lies in its potential to compromise the stability and longevity of dental implants. A new study found that the the prevalence of peri-implant diseases is very high.
A new paper evaluated Laser-Lok Dental Implants over a 20-year period and concluded that these dental implants showed high cumulative survival rate and low rates of marginal bone loss.
We review a case that compares Surgical and Gelfoam post-extraction in a group of 40 patients.
Presents a case demonstrating a new, and simpler technique for a sinus lift that utilizes ridge spreaders.
AI continues to be a hot topic across the entire healthcare industry. Implant dentistry is no exception.
This post highlights a new study that addresses the age-old question: Which sinus lift technique is preferable: Crestal (Indirect) or Lateral (Open/Direct)? Both surgical techniques are used to increase the height of bone in the posterior maxilla for dental implant placement, but they differ in their approach and execution.
Drilling technique can significantly affect osseointegration by influencing the integrity of the osteotomy site, the bone-to-implant contact, and the mechanical properties of the surrounding bone, such as density and quality.
This extraction case utilizes piezosurgery and the Osteogen Plug to achieve clinical success. Piezosurgery can enhance the safety and efficacy of extractions. The technique utilizes ultrasonic vibrations to precisely cut bone tissue while minimizing damage to surrounding soft tissues.
Electrolytic cleaning, using the Galvosurge device, is a decontamination technique that utilizes an electric field to remove biofilm and contaminants from the surfaces of dental implants. Recently, there was a new study released which examined the effect of this treatment on the mechanical properties of dental implants.
This case demonstrates the use of a new material, the DALI Flex Graft, to help simplify contour augmentation around an implant to address a ridge deficiency.
This case demonstrates, a unique, but highly effective way to enhance your GBR and ensure excellent surgical outcomes with the use of a DALI Amnion-Chorion membrane in a double-layer membrane technique.
In this case, the DALI One Graft Plug was used to successfully preserve the alveolar ridge following extraction of a mandibular incisor with severe bone loss.
We discuss a really interesting study from that investigated the use of newer perforated titanium‐reinforced dense‐polytetrafluoroethylene (PTFE) mesh when covered with a collagen membrane.
A new study applied a modified version of the socket shield technique to delayed implant placement and surprisingly found it to be quite beneficial in several respects.
With continued rapid advancements in AI and other underlying technologies, it seems inevitable that robotic surgery, despite the still considerable limitations, will improve and will have a major impact on implant surgery in the years ahead.
This post focuses on the topic of placement of implants in infected sites, following the release of a new 2-to-12 year clinical study that compared the survival rate and the success rate of single tooth implants placed and restored immediately after extraction in non-infected, and infected sites.
Multi-unit abutments can be used to make the process of denture conversions much smoother than implant level prefabricated non-engaging abutments.
As is well known, autogenous grafts, when appropriately indicated, remain the gold standard when it comes to grafting. Gingival augmentation is no exception.
Cortical bone perforation (intramarrow penetration) refers to the intentional creation of small holes in the cortical bone. It aims to enhance angiogenesis and osteogenesis during guided bone regeneration procedures.
We highlight a study from the Brånemark Clinic in Gothenburg, Sweden, that followed up on implant treatments from 1982-1985
Porcine collagen membranes, like OsseoSeal, are popular due to their flexibility and adaptability when hydrated. But, they can pose some challenges if you do not follow some basic clinical procedures.
Artificial intelligence (AI) is already revolutionizing many medical areas, but its application for implant dentistry is still not entirely clear.

The video below discusses the regeneration of fenestration defects at the time of extraction and immediate implant placement.
A palatal full thickness flap confirmed our suspicion. The root fragment was removed, the defect was degranulated, and the implant surface was decontaminated with a Nd:Yag laser.
What role do collagen plugs play in socket preservation and can other biomaterials enhance the benefits of collagen plugs?
This patient presents with periimplantitis of the lower left quadrant. Removal of existing implants with Guided Bone Regeneration is required. The tent pole technique for GBR was used.
While the success rate of dental implants remains very high, unfortunately some do fail. In this post, we review the basic causes of failure, as well as the accepted techniques for removing failed implants.
In this short video case, Dr. Gober, demonstrates one way of avoiding the need for a lateral sinus lift via the placement of an additional implant. The video also reviews the proven GBR techniques we have covered in previous videos.

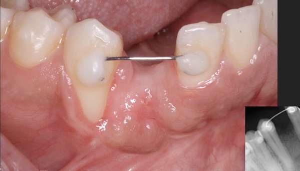
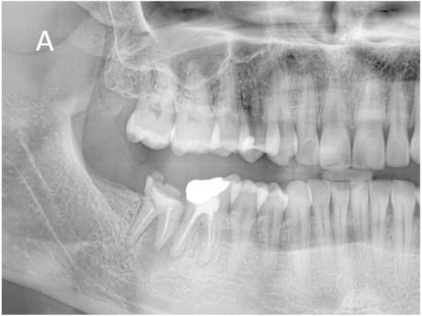
This case involved a 70-year old male who presented with a failing bridge in the lower right posterior quadrant.
We review the different types of PTFE membranes, explain why microporous ePTFE membranes (MP-ePTFE), such as Cytoflex Tefguard are probably the best current option.
There are many soft tissue grafting techniques that have been proposed that aim to improve soft tissue and achieve an adequate width of keratinized tissue (KT).
We will review the popular sinus lift techniques, all of which aim in some way to reduce the risk of the procedure, including the the risk of schneiderian membrane perforation
FAQ for OsseoSeal a resorbable collagen membrane derived from purified porcine pericardium.

This case video reviews specific techniques for implant uncovery following a successful GBR to help provide a stable peri-implant tissue complex.
This video demonstrates the use of DALI Acellular Dermis for soft tissue grafting, specifically for root coverage.

In this video case, Fractured #29 and missing #30 were treated. #29 was extracted and an immediate implant was placed along with an implant in site #30.

This video is a 2-part series which details the treatment of a hopeless maxillary anterior tooth. Part one discusses post-extraction socket healing and site development for implant placement. Part two will discuss the steps of implant placement, provisionalization, and final restoration.
Instructions for the Horizontal Centrifuge for PRF, which provides the latest cutting-edge technology for the PRF protocol at an affordable price.
FAQ for Fractured Screw Kit. The only you kit you need to remove a fractured or broken screw and save the implant.
OsseoSeal Bovine Bone Graft has 510-K Approval by FDA as substantially equivalent to BioOss.

Cytoplast TM TXT is a non-resorbable PTFE membrane, or dPTFE membrane. We offer an equivalent product called Cytoflex Textured Tefguard
Frequently asked questions for the Horizontal Centrifuge for PRF, which provides the latest cutting-edge technology for the PRF protocol at an affordable price.
Cytoflex Textured Tefguard is a non-resorbable PTFE membrane made of a proprietary micro-porous expanded polytetrafluoroethylene (ePTFE) material, that is ideal for socket preservations and bone grafting procedures. Below we have compiled and update the most frequently asked questions about the Cytoflex Tefguard Textured microporous PTFE Membrane so you get everything you need to know in one place!
